Menu

インプラント日記

Home

インプラント日記

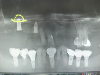
5/28日施術分オペ画像

2018 6/4

この画像も5月28日施術分のオペ画像になります。
この症例は右上3番が歯根破折の為に保存不可能な状態になり尚且つ入れ歯の鉤歯であったが為に、入れ歯の保持が厳しくなり来院された患者様でした、。
すでに下顎には複数本のインプラントを埋入され快調にご使用されているとのことで、上顎にもインプラントによる義歯固定の治療を希望されましたので3番相当部は抜歯即時で埋入し6番相当部にはソケットリフト法を併用しましてインプラントを問題なく埋入いたしました。