所沢市 歯科 インプラント 新所沢 矯正歯科 美原町歯科

所沢市 歯科 インプラント 新所沢 矯正歯科 美原町歯科

インプラント日記

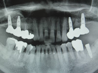
サイナスリフト、インプラント埋入

2019 8/27

今日のインプラントオペは右上臼歯部です。
この部位は上顎洞底からの骨の厚みが4ミリ程しかありませんでしたので、先にサイナスリフトを行い同時法でインプラントを埋入いたしました。
静脈鎮静下でのオペでしたので患者様も夢心地の内にオペが終わったのではないでしょうか。
最後の2枚は定期チェックにいらっしゃった患者様の画像です、ご了解の上でアップさせて頂きました、サイナス後、9年ほど経過しておりますがしっかり噛み込めており問題なしです。