所沢市 歯科 インプラント 新所沢 矯正歯科 美原町歯科

所沢市 歯科 インプラント 新所沢 矯正歯科 美原町歯科

インプラント日記

抜歯、ソケットプリザベーション、GBR

2015 4/1

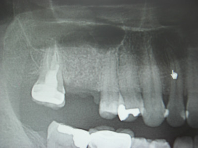
今日の午前中のオペは、歯根破折にて保存不可能な右上6番を抜歯し、(患者様は将来的にインプラントによる治療を希望されましたので)
同時にソケットプリザベーション、と側方へのGBR(骨造成)を施術いたしました。
CTにて精査しました所、根尖に歯根嚢胞も認められましたので、ピエゾにて完全に不良肉芽を掻破し、骨補填してオペ終了です。
☆このようなインプラント術前処置があるからこそ、将来的なインプラント埋入オペが可能となってくるわけです。!